A 60 year old male k/c/o right below knee amputated lower limb with ? Cellulitis,pre renal AKI 2° to ?cellulitis ?nsaid abuse, acute liver injury with direct hyperbilirubinemia, hypoalbuminemia
This is an online E log book to discuss our patient's de-identified health data shared after taking his/her/guardian's signed informed consent.
Here we discuss our individual patient's problems through series of inputs from available global online community of experts with an aim to solve those patient's clinical problems with collective current best evidence based inputs.
This E log book also reflects my patient-centered online learning portfolio and your valuable inputs on the comment box is welcome.
Here is a case i have seen:
70 yr old male came with
C/o unilateral swelling in right post amputated leg since 4days
Fever since 4days subsided on day2
A/w vomitings since 4days
7-8 episodes of vomiting in last 2days
Decreased urine output 2days back
Patient was apparently asymptomatic 4ays back then he noticed swelling in his right lowerlimb (amputated 3years back)when he was his way back from field which he went for digging a canal later he developed fever which was not associated with chills and rigors and was subsided on taking medication from local doctor .
It was associated with vomitings around 7-8 episodes for the past 2 days not subsiding and he was becoming weak .
He went to local doctor
Routine investigations were done and was told he has a kidney problem and was referred to kamineni for further management
Patient underwent below knee amputation 3years back at gandhi hospital and is using artificial leg since then
No h/o HTN,DM,TB ,asthma,epilepsy
Personal h/o:
Patient takes mixed diet
No loss of appetite
Sleep adequate
Bowel and bladder movements normal
Occasional alcoholic(?weekly once)
O/e:
pt is c/c/c
No pallor, icterus, cynosis, clubbing, Lymphaenopathy
Pedal edema present
Vitals:
Pt was afebrile to touch
Pr-74bpm
Bp-130/80 mmhg
Rr-18cpm
Cvs -s1s2 heard
Rs-b/l air entry present
P/a - soft ,non tender
No organomegaly
Bowel sounds present
Cns-NFD
CBP:
HB-12.3
TLC-11,000
PLT-1.64
CUE :
COLOR -PALE YELLOW
ALB-TRACE
SUGAR -NIL
BILE SALTS AND PIG- NIL
PUS CELLS-3-4
RBC -NIL
SPOT URINE PROTEIN-12
SPOT URINE CREAT-40.5
SPOT URINE A/G RATIO-0.29
Lft -
Tb-3.47
DB-2.69
SGOT-33
SGPT-21
ALP-729
ALB-2.52
RFT-
UREA-150
CREAT-5
Na-134
K-4
Cl-105
ABG:
PH -7.38
PCO2-27
PO2-89%
SO2-95%
HCO3-15.9
serology-negative
Usg findings - b/l grade 1 RPD
ECG NORMAL
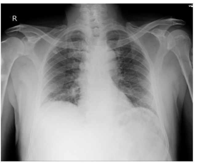
CHEST XRAY - NORMAL
Treatment:
IVF-NS,RL @ U.O +50ml/hr(continuous)
Inj ceftrioxone 1 g/iv/bd
Inj pantop 40mg/iv/od
Inj zofer 4 mg/iv/bd
Inj lasix 20mg /iv/bd
2-3 egg whites per day
protein powder in 1 glass of milk bd
Bp/pr/temp charting 4th hrly
stricy I/O charting
grbs 6th hrly
Surgery referal was done
Inj monocef 1g/iv/bd
inj metronidazole 500mg iv /bd
tab chymoral forte po tid
tab ultracet po/bd
food end elevation
crepe bandage
Day 2:
C/o swelling of amputated limb, pitting type
C/o abdominal tightness
pt didn't pass stool today morning
No c/o fever spikes since yesterday night
O/e:
Pt c/c/c
Afebrile to touch
Pr-88bpm
Bp-130/80 mmhg
Rr-16cpm
Grbs:127mg/dl
I/O:1300/1600
Cvs -s1s2 heard
Rs-b/l air entry present ,b/l fine crepts(inspiratory) at infra axillary,infrascapular region
P/a - soft ,mild tenderness present at epigastric region ,No organomegaly , Bowel sounds present
Cns-NFD
Reports:
2d echo
Hb:12.2
Tlc:11,100
Plt:1.68
Pcv:34.3
Fbs:122
Plbs:174
HbA1c:6.6
Treatment:
IVF-NS,RL @ U.O +50ml/hr(continuous)
Inj ceftrioxone 1 g/iv/bd
Inj pantop 40mg/iv/od
Inj zofer 4 mg/iv/bd
Inj lasix 20mg /iv/bd
2-3 egg whites per day
3 tsp of protein powder in 1 glass of milk bd
Bp/pr/temp charting 4th hrly & tepid sponging
stricy I/O charting
grbs 6th hrly
Inj monocef 1g/iv/bd
inj metronidazole 500mg iv /bd
tab chymoral forte po tid
tab ultracet po/bd
food end elevation with 2 pillows
crepe bandaging
MgSo4+glycerine dressing
Day 3:
C/o swelling of amputated limb
C/o fever spike yesterday evening
O/e:
Pt c/c/c
Temp:100.5
Pr-93bpm
Bp-120/70 mmhg
Rr-18cpm
Grbs:104mg/dl
I/O:2800/2750
Cvs -s1s2 heard
Rs-b/l air entry present , normal vesicular breath sounds heard
P/a - soft ,mild tenderness present at epigastric region ,No organomegaly , Bowel sounds present
Cns-NFD
Reports:
urea:123
Creat:2.5
Na:147
K:3.7
Cl:103
TB:2.10
DB:1.00
AST:34
ALT:24
ALP:764
TP:6.3
ALB:2.5
A/G:0.70
CHEST X RAY:
Treatment:
IVF-NS,RL @ U.O +50ml/hr(continuous)
Inj ceftrioxone 1 g/iv/bd
Inj pantop 40mg/iv/od
Inj zofer 4 mg/iv/bd
Inj lasix 20mg /iv/bd(if sbp >110mmhg)
2-3 egg whites per day
3 tsp of protein powder in 1 glass of milk bd
Bp/pr/temp charting 4th hrly & tepid sponging
stricy I/O charting
Inj monocef 1g/iv/bd
inj metronidazole 500mg iv /bd
tab chymoral forte po tid
tab ultracet po/bd
food end elevation with 2 pillows
crepe bandaging
MgSo4+glycerine dressing
Day 4:
No fresh complaints
no fever spikes
O/e:
Pt c/c/c
Temp:98.6
Pr-81bpm
Bp-110/80 mmhg
Rr-18cpm
Grbs:101mg/dl
I/O:1700/2200
Cvs -s1s2 heard
Rs-b/l air entry present , normal vesicular breath sounds heard
P/a - soft ,non tender ,No organomegaly , Bowel sounds present
Cns-NFD
Reports:
Urea:96
creat:1.9
usg abdomen:
Treatment:
IVF-NS,RL @ U.O +50ml/hr(continuous)
Inj ceftrioxone 1 g/iv/bd
Inj pantop 40mg/iv/od
Inj zofer 4 mg/iv/bd
Inj lasix 20mg /iv/bd(if sbp >110mmhg)
2-3 egg whites per day
3 tsp of protein powder in 1 glass of milk bd
Bp/pr/temp charting 4th hrly & tepid sponging
stricy I/O charting
Inj monocef 1g/iv/bd
inj metronidazole 500mg iv /bd
tab chymoral forte po tid
tab ultracet po/bd
food end elevation with 2 pillows
crepe bandaging
MgSo4+glycerine dressing


Comments
Post a Comment